Федеральное государственное бюджетное учреждение «Новосибирский научно-исследовательский институт травматологии и ортопедии им. Я.Л. Цивьяна» Министерства здравоохранения Российской Федерации

EN

Новосибирский НИИТО им. Я.Л. Цивьяна
Минздрава России

+7 (383) 373-32-01

c 8-00 до 20-00 (мск+4)

8-800-55-00-835

c 8-00 до 20-00 (мск+4)

EN

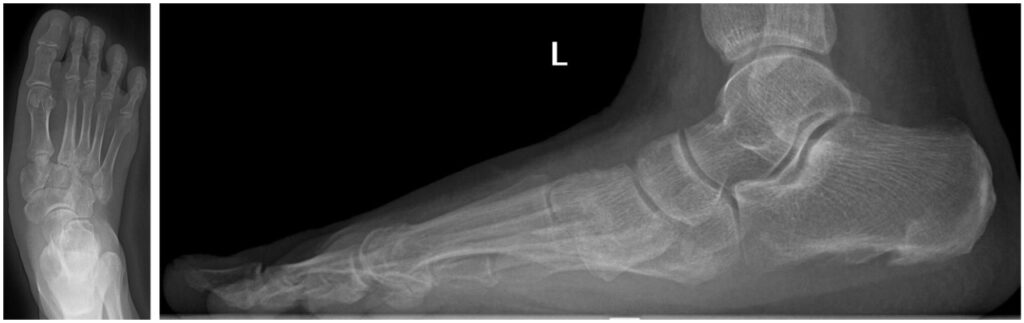
Больше года молодой житель Новосибирска Руслан Ермолаев испытывал сильную боль при ходьбе и даже в положении стоя. В мае 2024 года он получил травму при падении — обратился к врачам по месту жительства и был отправлен на амбулаторное лечение.

Однако с течением времени появились боли и деформация в области среднего отдела левой стопы. Руслан не мог полностью наступать на ногу и, как отмечает сам, «жил на обезболивающих», чтобы продолжать работать.

«Нога продолжала болеть всё сильнее. Если бы болей было меньше — я бы, наверное, не обратил такое внимание на эту ситуацию. Спустя примерно полгода после травмы я пришёл на консультацию к врачам ННИИТО — мне сказали, что нужно оперативное вмешательство. Я думал, что неправильно срослась кость, что заново сломают и загипсуют, но в итоге потребовалась сложная реконструктивная операция, и я рад, что оказался именно у врача ННИИТО, иначе бы, возможно, ситуация стала ещё тяжелее», — рассказывает пациент.

Перед специалистами травматолого-ортопедического отделения №6 Новосибирского НИИТО им. Я.Л. Цивьяна Минздрава России стояла задача коррекции сложной посттравматической деформации. Исходная травма привела к стойкому смещению костных фрагментов, что выражалось в грубой деформации стопы, болевом синдроме и нарушении её опорной функции.

«В подобных ситуациях достичь оптимального результата стандартными подходами может быть затруднительно. Наша тактика была основана на применении аддитивных технологий, поскольку стандартные имплантаты, эффективные при большинстве типичных повреждений, не всегда учитывают индивидуальные особенности сложной деформации.

В данном случае уникальный характер смещения делал стандартные решения менее предпочтительными, так как они не могли гарантировать необходимой точности репозиции и стабильности фиксации. Индивидуальная пластина была создана именно для того, чтобы обеспечить идеальное прилегание и максимальную эффективность фиксации в сложных анатомических условиях», — объясняет к.м.н., заведующий отделением Сергей Гуди.

Подготовка к операции включала несколько этапов. Сначала специалисты создали точную виртуальную и физическую 3D-модель стопы пациента на основе данных компьютерной томографии. Затем — предоперационное планирование: врачи детально отработали план коррекции деформации на специальной модели и определили оптимальную конфигурацию будущей конструкции.

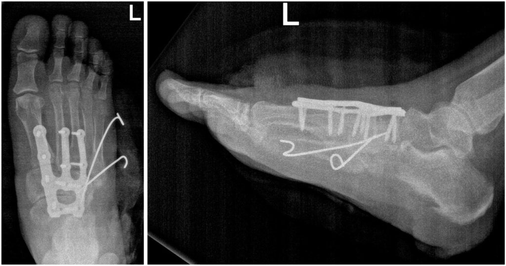
Далее непосредственно изготовление имплантата — для фиксации была спроектирована и напечатана индивидуальная титановая пластина, идеально соответствующая анатомии пациента после реконструкции.

«Суть вмешательства заключалась в точной реконструкции сустава Лисфранка. В ходе операции мы восстановили естественное соотношение костей стопы и зафиксировали его с помощью индивидуальной титановой пластины, вернув стопе её опорную функцию.

Аддитивные технологии в нашем институте — это уже не экзотика, а стандарт работы со сложными случаями в хирургии стопы и голеностопного сустава. Мы используем их при застарелых деформациях и в ситуациях, требующих уникальных решений, где стандартные методы могут оказаться недостаточно эффективными. Этот подход позволяет нам с уверенностью браться за лечение самых сложных пациентов», — добавляет Сергей Михайлович.

Руслан выписывается из хирургического стационара спустя два дня после проведения операции. Ему необходимо соблюдать ортопедический режим (перемещение с помощью костылей в течение 8 недель) и пройти восстановительное лечение в специализированном центре реабилитации.

«Хотелось бы поблагодарить врача, который меня оперировал, Сергея Михайловича Гуди, и весь медицинский персонал ННИИТО за заботу!» — говорит пациент.

Персонализированный подход к лечению пациентов — важнейший принцип в работе врачей Новосибирского НИИ травматологии и ортопедии. Детальное планирование позволяет учесть все нюансы деформации, снизить риски осложнений, а также добиться большей эффективности операции. Чёткий план и идеально подобранный индивидуальный имплантат сокращают время хирургического вмешательства и улучшают результаты лечения — в том числе восстановительный период.

ХОЧУ РАБОТАТЬ В ННИИТО

Мы используем cookie-файлы для наилучшего представления нашего сайта. Продолжая использовать этот сайт, вы соглашаетесь с использованием cookie-файлов.
Принять