Федеральное государственное бюджетное учреждение «Новосибирский научно-исследовательский институт травматологии и ортопедии им. Я.Л. Цивьяна» Министерства здравоохранения Российской Федерации

EN

Новосибирский НИИТО им. Я.Л. Цивьяна
Минздрава России

+7 (383) 373-32-01

c 8-00 до 20-00 (мск+4)

8-800-55-00-835

c 8-00 до 20-00 (мск+4)

EN

Жительница Новосибирска Ирина Зайцева не первый раз проходит хирургическое лечение в ННИИТО им. Я.Л. Цивьяна Минздрава России. Около года назад врачи-травматологи-ортопеды Института проводили артроскопию правого коленного сустава с резекцией повреждённой части мениска.

Позже, после успешно проведённой операции, пациентка стала ощущать боли и в левой ноге, связав это с возможным повреждением другого колена. Однако при этом ещё были и нетипичные симптомы: головокружение, тянущие боли в пояснице и слабость. Ирина Алексеевна обратилась на приём к хирургу-ортопеду ННИИТО Александру Алекперову, и специалист рекомендовал выполнить МРТ позвоночника и обратиться также к врачу-неврологу с результатами обследований.

«По МРТ была диагностирована опухоль, предположительно, невринома, паравертебральной локализации. Только тогда я вспомнила, что ещё в 2018 году мне делали УЗИ органов брюшной полости и заметили небольшое образование около позвоночника. Оно меня никак не беспокоило и на время я о нём даже забыла. Затем стала болеть спина, тянуло в руке, в ноге, но я не связала эти факты между собой. Сейчас, когда сделали МРТ после обращения к травматологу, я вспомнила об опухоли. За это время она несколько увеличилась в размерах», — рассказывает Ирина Зайцева

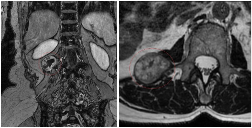
Магнитно-резонансная томография выявила паравертебральное (расположенное рядом с позвоночным столбом) объёмное образование размером около 3×4х3 см на уровне L1-L2 позвонков справа. Пациентка обратилась к врачу-нейрохирургу ННИИТО им. Я.Л. Цивьяна.

«Новообразование требует хирургического лечения, причём в этом случае не нужно делать предварительную биопсию — опухоль локализована и имеет чёткие границы. Пациентка согласилась на оперативное лечение, после оформления документов на квоту приехала на госпитализацию в ННИИТО и была прооперирована. Мы осуществили малоинвазивный доступ к опухоли сзади, выделили образование и полностью удалили. Опухоль отправлена на гистологическое исследование, однако по всем признакам, с большой вероятностью это будет невринома — доброкачественная опухоль», — комментирует к.м.н., врач-нейрохирург Иван Пендюрин.

На третьи сутки после операции Ирина Алексеевна уже самостоятельно передвигается по стационару и готовится к выписке. Дальнейший план — отдых и восстановление сил.

«Только благодарность врачам Ивану Викторовичу Пендюрину и Леониду Евгеньевичу Кучуку, всему медицинскому персоналу — все внимательные, всё быстро и оперативно, девочки-медсёстры всегда подойдут и помогут», — добавляет пациентка.

Как отмечают врачи нейрохирургического отделения №1, данный случай можно считать практически случайной находкой, поскольку пациентка изначально обратилась по поводу боли в ноге, не указав информацию о ранее проведённом УЗИ.

Безусловно, заслуга пациентки — обращение к врачу при недомогании и прохождение необходимых диагностических обследований согласно рекомендациям специалиста, поскольку только врач может правильно интерпретировать жалобы и определить оптимальную тактику лечения. Но обращаем Ваше внимание, что для безопасности пациентов стоит сразу проконсультироваться у профильного специалиста при обнаружении новообразования — в ряде случаев это поможет избежать рисков осложнений.

Записаться на консультативный приём к врачу ННИИТО для точной диагностики и безопасного лечения можно по тел. колл-центра (8383) 373 32 01. Мы всегда готовы помочь Вам сохранить здоровье.

ХОЧУ РАБОТАТЬ В ННИИТО

Мы используем cookie-файлы для наилучшего представления нашего сайта. Продолжая использовать этот сайт, вы соглашаетесь с использованием cookie-файлов.
Принять